Casi clinici

DIAGNOSI:

Scoliosi dorso lombare

Radiografia della colonna in toto pre-operatoria
Intervento chirurgico eseguito:

Artrodesi dorso lombare con osteotomie correttive

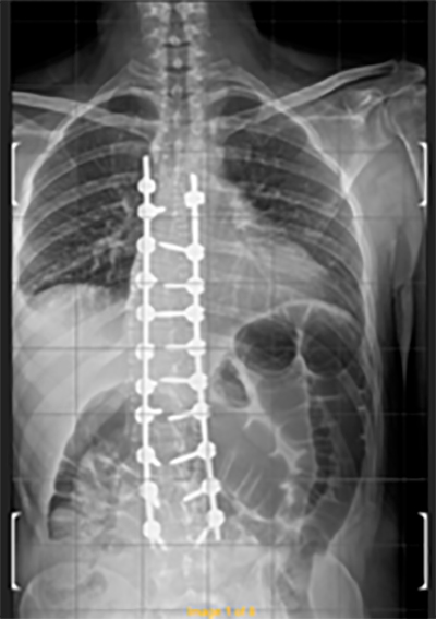
Radiografia della colonna in toto post-operatoria
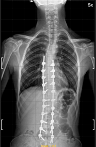
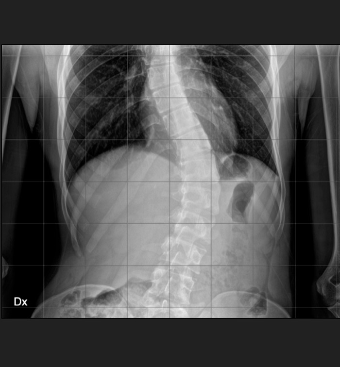
DIAGNOSI:

IPERCIFOSI DORSALE + SCOLIOSI DORSO LOMBARE

Radiografia della colonna in toto pre-operatoria
Intervento chirurgico eseguito:

STABILIZZAZIONE DORSO – LOMBARE CON OSTEOTOMIE CORRETTIVE

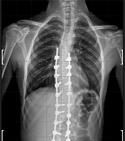
Radiografia della colonna in toto post-operatoria
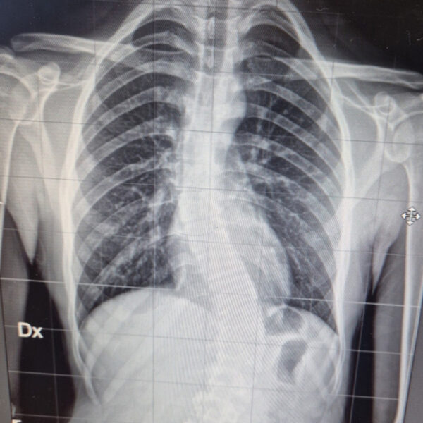
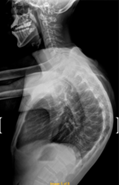
DIAGNOSI:

IPERCIFOSI DORSALE GRAVE

Radiografia dorsale pre operatoria
Intervento chirurgico eseguito:

STABILIZZAZIONE DORSO – LOMBARE CON OSTEOTOMIE CORRETTIVE

Radiografia dorsale post-operatoria
DIAGNOSI:

Ernia discale cervicale c5-c6

Risonanza magnetica cervicale pre-operatoria
Intervento chirurgico eseguito:

Microdiscectomia cervicale con approccio anteriore + introduzione di cage intersomatica cervicale

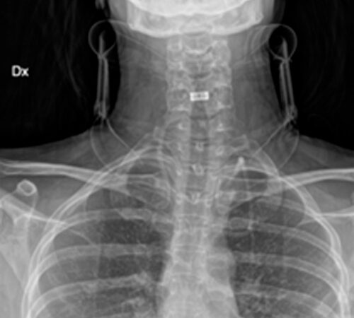
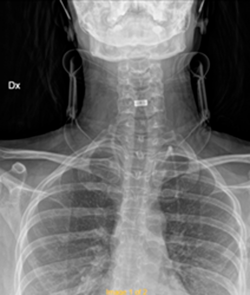
Radiografia cervicale post-operatoria
DIAGNOSI:

Paziente anziano con diverse comorbidità, affetto da stenosi lombare foraminale multilivello

Risonanza magnetica lombare pre-operatoria
Intervento chirurgico eseguito:

Introduzione di dispositivo interspinoso lombare L3-L4 per via percutanea

Radiografia post-operatoria
DIAGNOSI:

SPONDILOLISTESI CON STENOINSTABILITA’ L3-L5

Radiografia lombare pre-operatoria
Intervento chirurgico eseguito:

Artrodesi lombare mediante viti transpeducolari L3-L4-L5 + introduzione di cage intersomatica plif

Radiografia post-operatoria
DIAGNOSI:

SPONDILOLISTESI LOMBARE CON STENOSI FORAMINALE

Risonanza magnetica lombare pre-operatoria
Intervento chirurgico eseguito:

PROCEDURA TLIF: TRANSFORAMINAL LUMBAR INTERBODY FUSION

Stabilizzazione percutanea di L4-L5 + introduzione di cage intersomatica TLIF Radiografia post-operatoria
DIAGNOSI:

STENO-INSTABILITA’ LOMBARE MEDIANA

Risonanza magnetica lombare pre-operatoria
Intervento chirurgico eseguito:

PROCEDURA PLIF: POSTERIOR LUMBAR INTERBODY FUSION

Stabilizzazione vertebrale percutanea L4-L5 + introduzione di cage intersomatica PLIF Radiografia lombare post-operatoria
DIAGNOSI:

SPONDILOLISTESI LOMBARE DI II GRADO L5-S1

Risonanza magnetica pre-operatoria
Intervento chirurgico eseguito:

STABILIZZAZIONE PERCUTANEA SEMPLICE

Radiografia lombare post operatoria